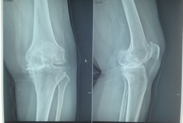
患者王某,女,54岁,合阳县人。二十余年前,出现左膝关节疼痛、肿胀,严重影响日常活动,稍微休息后感到缓解,但疼痛的症状时常发作,而且越来越重。为明确病情前来我院,在门诊检查后,诊断为膝关节骨性关节炎,由骨二科收住院。
患者曾在2015年因右膝关节重度骨性关节炎,在西安行右全膝关节置换术。住入我院后,骨二科副主任医师胡洪波为患者做了详细全面的检查,最终诊断为左膝关节骨性关节炎IV期,右全膝关节置换术后,高血压病3级。因为患者左膝关节的疼痛,导致走路不稳,影响到了日常生活,已经达到了手术指征,骨二科医师在经过和患者及家属的反复沟通后,决定为患者实施左侧全膝关节表面置换术。
10月15日,由胡洪波主刀,为患者施左膝关节骨性关节炎全膝关节表面置换术,手术过程顺利。术后2天患者开始屈膝运动训练及肌力训练,3天即可扶支柱下床行走,术后7天出院,术中患者的膝关节畸形也成功纠正,目前患者膝关节功能良好,行动无阻碍。
据悉,人工全膝关节置换适用于重度骨性关节炎、类风湿性关节炎、严重的创伤性关节炎、肿瘤膝的患者。随着医学科技的发展,也随着新技术、新材料的涌现,在骨关节炎的治疗方面,人工全膝关节置换术已逐步成为临床上治疗膝部骨关节炎和重建膝关节功能的重要方法。骨二科膝关节置换术,是我院骨科技术水平发展的里程碑,代表着我院关节置换技术达到省内先进水平。

