3月13日,乐鱼在线登录入口介入科主任李建国带领介入团队成功为一原发性肝癌破裂大出血患者实施了急诊介入栓塞止血手术。手术历时30分钟。


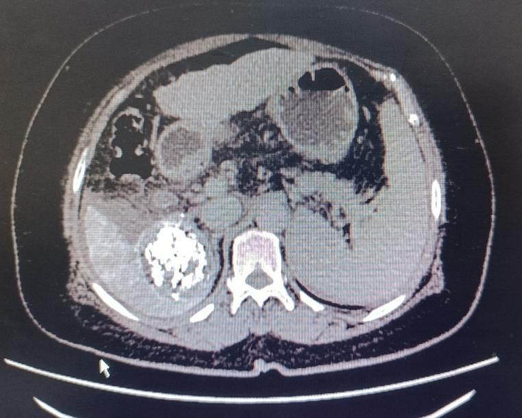
患者女性,57岁,3月12日,突发腹部疼痛就诊于当地医院,CT示肝肿瘤破裂出血,随即转入市中心医院急诊科,分诊后入住普外科二病区。急查实验室检查示:血红蛋白71g/L,血压85/60mmHg左右,正值周日,值班人员电话紧急请介入科会诊,经分析,患者随时有失血性休克风险,当即立断启动疫情状态下的急危重症患者介入诊疗绿色通道。应急值班人员第一时间到位,行肝动脉造影明确了出血动脉(部位),现场评估并制定了手术方案,对肿瘤出血进行了封堵及TACE,术后给予止血、保肝、输血、抗感染等对症处理,病情稳步好转。复查CT肝内碘油沉积良好(提示介入治疗疗效佳),目前已安全出院。



该患者诊断及时,采取介入治疗迅速有效,避免了外科开腹手术,减少了创伤。
据李建国介绍,肝癌破裂出血是原发性肝癌的严重并发症,病情进展快,发生率为2.5%-20%,死亡率可达33%-67%。
治疗方法主要有肝切除术、肝动脉结扎术、TACE术等。随着医学的发展,肝动脉栓塞化疗术(TACE)对肝癌肿瘤破裂大出血的治疗越来越受到关注,该手段亦是中晚期不能接受手术切除的原发性肝癌患者的首选治疗方式之一,对于出血量较多、无法行手术切除的患者能够快速有效止血,为后续肿瘤治疗提供基础,从而延长患者生存期,改善预后,提高生活质量。