一直以来,我院病理科脱落细胞学找癌细胞阳性率较低,造成漏诊率较高,一纸细胞学病检报告在临床医师的面前显得无足轻重。从专业层面讲,传统的细胞学涂片由于细胞量少,涂片薄厚不均匀,癌细胞形态不典型、背景杂质较多,鉴别来源困难等因素的影响,给准确诊断带来了很多的困扰。另外,病理医师在作出细胞学阳性诊断结果的时候往往需要结合患者的临床资料尤其是影像学检查结果作为诊断依据,由于有些影像学不能提供有力证据作为支撑,再加上细胞涂片在制作过程中有退变现象,更增添细胞学诊断难度。

为了破解这一不堪的局势,病理科派人到西京医院病理科细胞室进行专科培训,从细胞收集技术到镜下找癌细胞病理诊断进行了系统的学习。2017年,在科主任的大力支持和帮助下,经过多次预实验摸索适合本实验室的条件,最终成功引进细胞蜡块技术,并进一步顺利开展免疫细胞化学染色,细胞学诊断也扬眉吐气了。

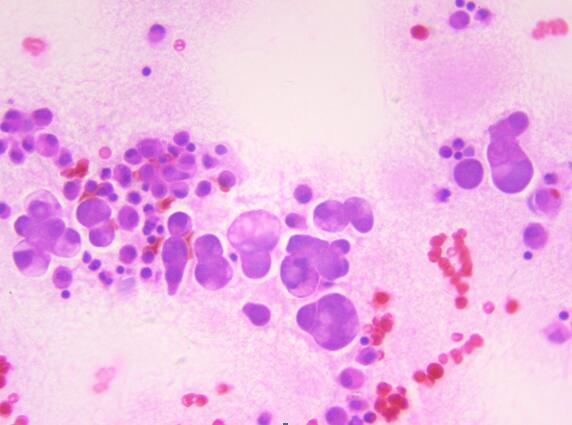
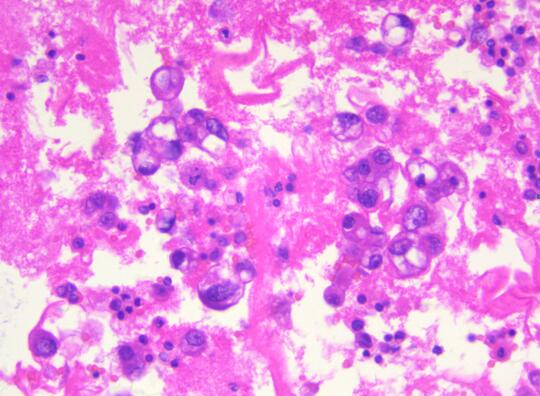
患者,女性,55岁,因腹胀不适半月余,加重乏力5天,盆腔B超提示附件包块。为了明确诊断,临床穿刺抽取500ml血性腹水做病理检查。病理科在接收到患者的腹水标本后,首先做了涂片的细胞学检查,初步提示恶性瘤细胞。在与临床大夫沟通后,科室将剩余的腹水制成了细胞蜡块,行石蜡包埋(图一)并加做了免疫细胞化学染色。免疫细胞化学结果显示Pax-8、ER、WT-1阳性(图二),同时标记间皮的指标阴性。因此,通过细胞蜡块技术该患者可明确诊断为“腺癌,卵巢来源可能性大”。随后患者进行了8次化疗,病情有所缓解,无腹胀,肿瘤系列恢复正常。

细胞蜡块的制备过程经历了沉淀和多次离心,最大限度地保留了癌细胞,减少了细胞丢失,降低了漏诊率。同时,恶性肿瘤的细胞蜡块均可进一步通过免疫细胞化学法确定癌细胞是肺来源、胃肠道来源、乳腺来源、卵巢来源、间皮来源还是淋巴细胞来源。再次,细胞蜡块切片更接近组织学,图像背景清晰,易于镜下观察,大大提高了阳性检出率。最后,细胞蜡块制作程序简单,成本不高,最重要的是细胞蜡块可连续切片进行分子检测,为精准诊断和临床个体化用药提供参考依据。该技术的成功应用大大提高了浆膜腔积液细胞诊断的阳性率,弥补了传统细胞学检查存在的一些缺陷,提高细胞病理诊断在临床的认可度。推动该技术的广泛应用,将对乐鱼在线登录入口精准细胞学诊断提供强有力的保障。