为进一步提高消化内科的诊疗水平,拓宽内镜诊疗技术,8月6日上午,在消化内科主任王宇晖的指导下,由手术麻醉科雷育华主治医师行气管插管麻醉,在介入科配合下,消化内科曹鹏主治医师为一位87岁高龄患者成功实行了ERCP(经内镜逆行性胰胆管造影术)胆道取石手术。




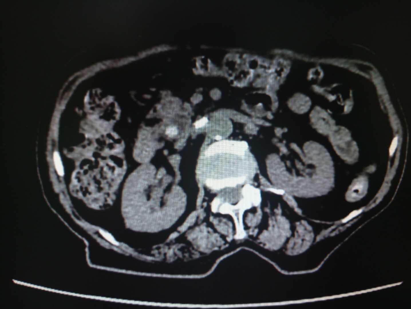
患者梁某,女性,87岁,因“腹痛2月”收住消化内科,诊断为胆总管结石、化脓性胆管炎、冠心病、心房纤颤、高血压2级、脑梗塞、电解质紊乱(低钾血症)。患者入院后伴有发热,最高体温41℃,急性化脓性胆管炎症状急剧加重,生命危在旦夕,一分一秒都在与生命赛跑。以往唯一生还的机会就是开刀手术,但是这位高龄患者很难下手术台;如果保守治疗唯一的结果就是因感染性休克及严重合并症而死亡。就在此时,消化内科主任王宇晖、主治医师曹鹏、白欣与手麻科雷育华主治医师、介入科何彤副主任多学科联合会诊,根据病情迅速制定了最佳手术方案,那就是为患者实行ERCP胆道取石。手麻科迅速为患者实行插管麻醉,密切监护生命体征,介入科配合,由曹鹏医生快速将胆管内的巨大结石顺利取出,迅速解除了胆道梗阻,缓解了患者胆道压力,安全有效缓解了患者的危重病情。
术后第二天,87岁高龄的梁奶奶坐在床上,面容舒缓,满脸笑意,提及到昨日的手术时,她竖起大拇指,激动地说道:“太神奇了,睡一觉手术就完了,身上还没有伤口。”

由于ERCP不用开刀,创伤小,恢复快,手术时间短,并发症少,住院时间缩短,常常被广大患者所接受。同时,消化内科ERCP技术也通过近几年临床经验,正在不断进步,不断成熟。