2019年1月3日下午,消化内镜中心曹鹏医生接到普通外科的急诊会诊电话,一位59岁男性患者,出现急性上消化道大出血,目前已置入了三腔两囊管,但患者仍在出血,处于休克状态,要求内镜下急诊止血。
患者2018年11月15日因发现肝硬化5年入住我院普通外科,既往有胃穿孔胃大部切除史。12月9日全麻下行脾脏与胆囊切除术,贲门周围血管断裂术,2019年1月2日无明显诱因出现呕吐鲜血,量约2000ml,查血压78/37mmHg,心率160次/分,血红蛋白41g/L ;经普通外科董山潮、史和平主任及消化内科王宇辉 、王莹主任联合会诊后决定在输血扩容的同时由内镜中心曹鹏医师实施内镜下曲张静脉组织胶注射止血术。

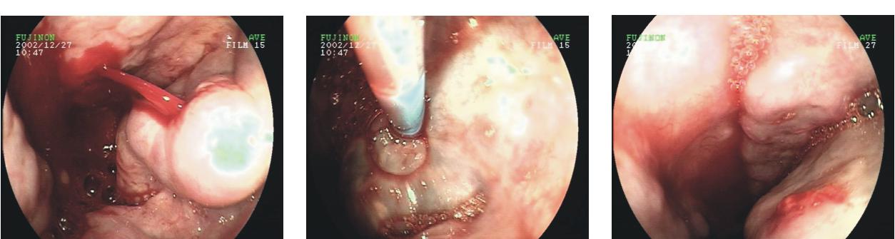
内镜中心迅速行动,李侠护士长选派骨干护士薛芝娟、钱坤准备手术用物,立即赶往手术室协助曹鹏医师进行手术。麻醉师雷玉华医师插管麻醉,在未拔除三腔两囊管的情况下,曹鹏医师迅速插入胃镜,观察到食管腔内有大量新鲜血液,食管静脉重度曲张,在距门齿35cm处可见曲张静脉上有一破口,并向腔内射血,立即置注射针于破口处,迅速注射组织胶,此时见曲张静脉迅速变硬、发白,破口被严密封堵住。出血已止,大家都松了一口气,患者抢救过来了,拔除三腔两囊管,转入ICU观察,2日后患者转回病房,目前患者病情平稳,未再出血。
食管胃底静脉曲张破裂出血是各种慢性肝病继发门静脉高压引起的最凶险、最紧急、死亡率最高的并发症之一,常常危及生命,需紧急有效处理。内镜下食管胃底静脉曲张组织胶注射术是目前治疗此类疾病的有效手段,此项技术不仅达到即时止血,同时也最大程度的预防再出血,部分患者达到根治食管胃底静脉曲张效果。
此例病人的抢救成功,是我院多学科协作的又一经典案例,标志着我院对急性上消化道大出血的内镜下治疗水平更进一步,达到省内领先水平。以往这种上消化道大出血患者死亡率极高,由于缺乏有效的止血手段,患者极易反复;现在我院内镜中心引进了高清内镜,派专人学习此项技术,并有内镜中心优秀的团队,对于此类上消化道大出血患者,可以及时挽救患者生命。目前渭南地区仅我院开展此项技术,内镜中心将砥砺前行,再接再厉为广大消化病患者服务。