医疗动态

当前位置: 乐鱼(中国)-乐鱼医疗动态医疗技术 → 正文

医疗技术

当前位置: 乐鱼(中国)-乐鱼 > 医疗动态 > 医疗技术 > 正文

肺部疾病诊治的首选检查之一——气管镜

发布日期:2022-05-20    作者:呼吸科    来源:     点击:[]

呼吸系统疾病的诊断中,气管镜作为三大法宝之一最常被人们忽略,很多人误以为有了胸部CT,肺功能,就完全可以代替支气管镜检查。其实无论胸部CT有没有发现病灶,或是CT提示肺部炎症改变、占位,都需要支气管镜检查才能确诊,甚至是最好或是唯一的确诊手段。目前我们拥有国内最先进的设备及技术,完整的诊疗流程,使患者在短时间、花费少的情况下快速诊断并治疗肺部疾病。

下面通过现实中的6个病例来给告诉大家,它的重要性和必要性在哪里?

病例1

患者女,30岁,因“发热、咳嗽3天”入院。胸部CT如下:

59C0

胸部CT仅见右肺下叶少许炎性改变,让人以为就是普通的细菌感染。为了明确诊断,行支气管镜检查,支气管镜下未发现异常,但常规支气管肺泡灌洗液(BALF)送检结果回报,结核分枝杆菌阳性,就是咱们常说的“肺结核”。

病例2

患者,男,58岁,因“咳嗽、咳痰3天“入院。入院后查胸部CT发现右肺下叶基底段占位。

47E9

为了进一步明确,我们进行气管镜检查,使用超细支气管镜,于右肺下后基底段亚支,看见新生物活检后病理诊断为“鳞状细胞癌”。

病例3

患者女,63岁,因“咳嗽1周”来我院门诊就诊,查体胸部CT报未见明显异常。

64AA

如果不做标识,相信非常多人也看不出来。用活检钳夹除异物(花生)后患者咳嗽好转。

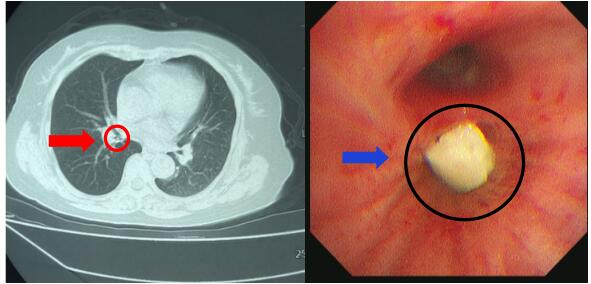
病例4

患者,女性,57岁,体检发现肺占位;

5CDF

为了进一步明确,我们进行支气管镜检查,使用超细支气管镜进入左肺下叶外基底段,并于外基底段给予超声探查活检后,病理诊断“肺腺癌”。

病例5

患者男性,60岁,因咳嗽、咳痰10天入院,既往体检;查体胸部CT示右肺上叶占位。

860B

完善相关检查后,安排患者行气管镜检查,使用超细支气管镜进镜,超声于右肺上叶尖段给予超声探查,探及边界清晰的异常回声区,活检6快组织送病理,结果回报为肺恶性肿瘤;

病例6

患者男性,70岁,因咳嗽、咳痰3天入院,胸部CT示纵隔内多发淋巴结肿大;

B2B6

入院后完善术前检查,全麻下先进行普通气管镜检查,镜下未见明显异常;更换超声支气管镜,于4组、7组淋巴结探及异常回声,行针吸活检术后,病理回报:小细胞癌。

这六个病例真实的警示我们,不明原因的长期咳嗽、气短、痰中带血,胸部CT示肺部阴影及占位、肺部反复感染者,气管镜检查更是不可或缺的,是明确诊断不可替代的唯一手段。随着现代医学技术的进展,纤维支气管镜早已发展为电子支气管镜、超细支气管镜、超声支气管镜、能够做各种治疗的支气管镜等先进设备和技术,麻醉技术方面也有很大的进步,可以选择局部麻醉和全身麻醉。气管镜检查早已经成为呼吸科临床诊断治疗疾病不可缺少的重要手段,是肺部疾病诊治的金标准。

知识拓展:

哪些人需要做气管镜检查?

诊断方面

  1. 慢性不明原因的咳嗽

  2. 不明原因的咯血或痰中带血、局限性哮鸣音、声音嘶哑

  3. 胸部CT提示肺不张、肺炎、阻塞性肺炎、肺部块影等

  4. 肺或支气管感染性疾病的病因学诊断

  5. 不明原因的肺门、纵隔淋巴结肿大

  6. 肺癌放疗及化疗期间的检查

  7. 肺切除术前、术后的检查

治疗方面

  1. 清除气道内异常分泌物

  2. 气管内异物取出术

  3. 气管、支气管狭窄,需要镜下支气管扩张、气道内支架植入的患者

  4. 已经确诊肺部良、恶性肿瘤、支气管结核,镜下治疗的患者

  5. 支气管肺癌局部化疗

  6. 经支气管镜注射药物