近日,一位92岁的马老先生因为头晕伴呕吐来到乐鱼在线登录入口神经外科二病区就诊,经查,患者小脑右侧长有巨大肿瘤,在医疗团队精心救治下,在显微镜下全部切除肿瘤,且完整保留神经功能,手术取得圆满成功。


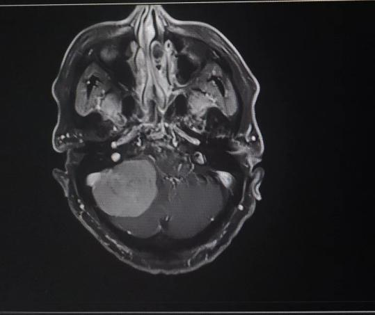
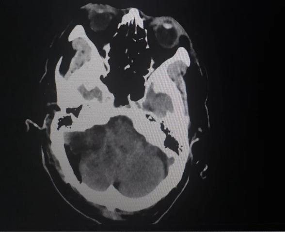
患者入院后,头颅MR检查后发现,小脑右侧长了巨大肿瘤,直径约6公分,患者家属收到不小的惊吓。患者4年前曾做过一次头颅核磁共振,当时肿瘤较小,考虑到患者已经88岁,家人还是决定保守观察,没想到如今,它已经长大到足足有一个土豆那么大,而且患者头晕较重,反复恶心、呕吐,卧床不起,因此必须进行手术,才能解决患者病症。
患者家属反复考虑、综合思量后,决定接受手术治疗。神经外科二病区主任白西民及团队进行综合评估,术前讨论,研究患者肿瘤位置、毗邻关系及心肺状况,制定周密手术方案。联合呼吸科、心内科、麻醉科及重症医学科等学科会诊,研究制定详细手术方案及应急预案。


手术时,在显微镜下沉着应对,先切断肿瘤血液供应控制出血,一边分块切除肿瘤,一边对肿瘤进行精细剥离,仔细保护与肿瘤粘连紧密的重要神经、血管结构,最后在显微镜下全部切除肿瘤,而且完整保留了神经功能,手术取得圆满成功。

高龄老人在神经外科二病区医护团队及家人精心护理照料下,度过几天危险期后,身体逐渐恢复,如今已康复下床活动,自主站立行走,安全顺利回家休养。