近日,乐鱼在线登录入口介入科门口,出现感人的一幕,一名患者及家属紧紧握住医护人员的手,将一面锦旗、一封感谢信送到医护人员手中,表达谢意。


对这位患者,介入科医护人员印象深刻。三个多月前,46岁的苏女士,子宫腺肌症合并子宫肌瘤,在介入科成功实施经桡动脉超选择双侧子宫动脉造影栓塞术,保全了子宫,除去多年腺肌症带来的痛苦和担心传统治疗切除子宫的困扰。
苏女士入院前每个月会有7、8天时间剧烈腹痛,彻夜难眠,长期慢性失血引起贫血头晕、皮肤苍白、全身乏力,三个月前腹痛加剧、经血量增多,血红蛋白持续60g/L以下(重度贫血)。B超检查提示:子宫腺肌症合并子宫肌瘤。后辗转几家医院均被告知若月经期腹痛加剧出血不止、严重影响生活建议子宫切除。
苏女士日常非常注重形象,加之正处于中年,难以面对因良性病变开刀切除子宫的创伤与痛苦,经多方了解后到乐鱼在线登录入口介入科接受介入治疗。接诊医生谢纱告知患者,介入治疗子宫腺肌症的优势是创伤小、痛苦小、能改善月经期间痛经和经血量大的问题,但部分病人可能面临闭经风险,患者坚持不愿外科子宫切除。
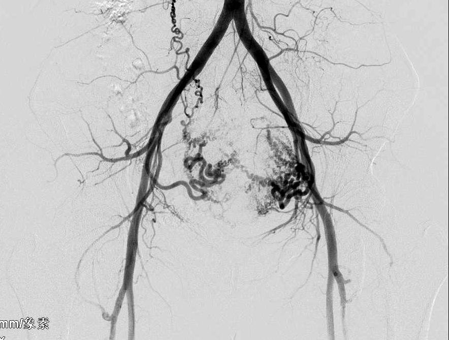
术前介入科主任李建国综合评估患者情况后,制订出个性化治疗方案。采用右侧桡动脉穿刺超选择双侧子宫动脉造影栓塞术,可避免传统股动脉穿刺术后制动24小时,给患者和护理人员带来不便,同时避免因卧床制动易形成下肢深静脉血栓的风险,但桡动脉到胸主动脉再到腹主动脉最终到盆腔子宫动脉,给手术操作者带来很大挑战。


8月16日早8时手术开始,在医护默契配合下,手术历时三十五分钟,异常供血的子宫动脉血管被全部封堵栓塞,手术成功,术后患者由护理人员搀扶走出手术室。
术后,患者和家属激动地握着医护人员的手说:“没想到还有这么好的治疗,免去了我多年的担忧,怎么感谢你们呢!”谢纱耐心叮嘱患者术后注意事项、观察要点,护士长白小爱及责任护士指导患者饮食、活动及复诊,电话随访。苏女士月经如期而至,疼痛明显缓解,月经期量基本恢复正常,复查血色素持续升高,三个月后复查效果高出预期,超声检查提示子宫恢复正常大小,肌瘤消失。
科普知识:
介入子宫动脉造影栓塞术适用于女性常见病如子宫腺肌症、子宫肌瘤、子宫肌瘤剔除术后复发或不愿意手术切除要求保留子宫者,以及各种原因导致的子宫大出血,如前置胎盘、胎盘植入、产后宫缩乏力出血等。该治疗既可明显减少患者失血,又免去切除子宫之痛,能明显提高女性患者生活质量。手术操作精准、时间短、腹部无创伤、术中少痛苦、术后恢复快,尤其适合年轻有生育需求的女性,更大程度解除了女性患者切掉子宫的烦忧。