医疗动态

当前位置: 乐鱼(中国)-乐鱼医疗动态医疗技术 → 正文

医疗技术

当前位置: 乐鱼(中国)-乐鱼 > 医疗动态 > 医疗技术 > 正文

市中心医院成功救治一名脑室内出血患者

发布日期:2024-07-02    作者:神经外科二病区    来源:     点击:[]

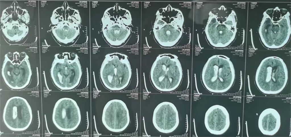
近日,市中心医院神经外科二病区成功完成一例神经内镜下治疗脑室内出血疑难病例。

患者男性,65岁,意识不清3小时转入医院,颅脑CT提示脑室出血并脑疝。入院时患者血压175/105mmHg,深度昏迷,对光反射消失,四肢刺痛无反应,肌张力减低,双侧巴氏征阳性。

术后2周

神经外科二病区医疗团队紧急讨论并组织MDT,由副主任医师杜春亮主刀,在神经内镜下为患者彻底清除侧脑室及三脑室血肿,同时又避免损伤正常的脑组织,最大限度保护了脑功能,取得良好的临床治疗效果。手术历时1小时余。

术后一个月

术后,经过医护团队精心救治,患者神志恢复清醒,无肢体偏瘫,搀扶下可以站立。1月后随访已经能够行走,生活基本自理。

此例手术的成功,为市中心医院神经外科技术创新和服务能力提升积累了经验,将帮助越来越多的患者重获新生。