5月16日,乐鱼在线登录入口胸外科团队在北京大学肿瘤医院柳晨教授指导下,成功完成CT引导下经皮肺结节射频消融术(RFA)。该技术的成功开展标志着医院在肺部微创介入治疗领域取得突破。


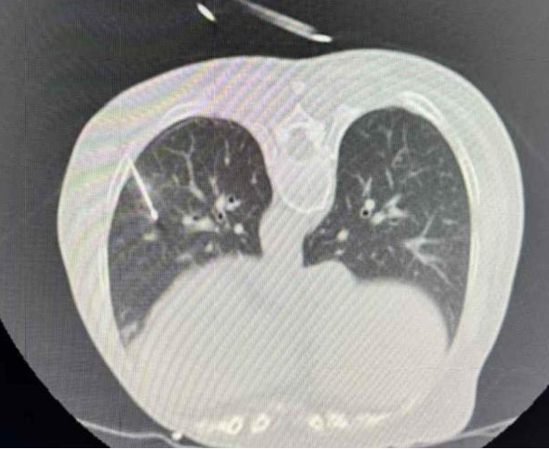
患者张某,64岁,体检发现左肺两处1.2cm结节,经多学科会诊评估后,胸外科团队决定采用射频消融术。手术在局麻下进行,通过CT精准定位,将射频电极针穿刺至结节部位进行消融。手术历时1小时,成功消除病变组织,患者术中无疼痛感,术后恢复良好。


此次手术的成功开展,体现了医院多学科协作诊疗模式的优势。团队将继续探索微创治疗新技术,为肺癌患者提供更优质的治疗方案。