近日,乐鱼在线登录入口脑血管病治疗中心(神经外科三病区)成功为一名83岁高龄患者实施颈动脉剥脱术(CEA),标志着该中心在处理复杂疑难脑血管疾病方面取得新的突破。
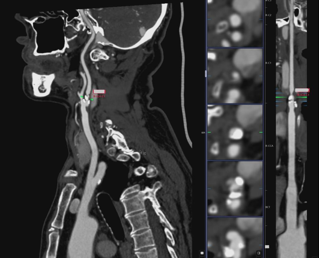
患者入院前,反复出现头晕、呕吐,并伴有黑朦、短暂性脑缺血发作(TIA)等症状。入院后颅脑MR检查显示“未见颅内新发梗死”,颈动脉B超提示右侧颈内动脉重度狭窄。初步诊断为右侧颈内动脉起始部重度狭窄、头晕、高血压病1级、腔隙性脑梗死。

经过全面术前评估和多学科协作诊疗(MDT)讨论,医疗团队认为患者症状与右侧颈动脉狭窄密切相关。由于颈动脉斑块质地硬、钙化明显,不适合行颈动脉支架术(CAS),在与家属充分沟通后,团队决定为患者实施右侧颈动脉剥脱术(CEA)。

手术于7月24日进行,由麻醉科主治医师陈森全程监护,中心主任杨震主刀,副主任医师行治国、杜春亮协助,在显微镜下顺利完成,历时3小时10分钟。
术后,患者在神经重症主任刘冀荣团队和护理团队的精心治疗与护理下恢复良好,神志清楚,无肢体偏瘫、饮水呛咳等情况,言语功能正常。术后第3天,患者已可下床活动、自主进食,生活基本自理。
乐鱼在线登录入口脑血管病治疗中心(神经外科三病区)以脑血管疾病诊疗为基础,依托DSA、显微镜等重要设备,广泛开展头颈部血管疾病综合治疗,包括急诊取栓、颈动脉及椎动脉支架植入、颅内动脉瘤和动静脉畸形的介入治疗,以及常规开颅和动脉瘤夹闭手术等。科室积极参与国家级和省级科研项目,不断推进技术创新与服务提升。